Virtual Orthodontic Consultation

To make your appointment easier and more convenient, we offer virtual treatment check-ins for our patients. Before your scheduled virtual visit, please take a series of five photos of your teeth using the guidelines below and submit them through the form on this page at least 48 hours before your appointment.

This allows Dr. Mo time to carefully review your photos ahead of your visit so your virtual appointment can be efficient, productive, and focused on your progress.

How it Works:

1. Ask someone to help you replicate the photos below using a digital camera or smartphone.

2. Submit all 5 of your photos using the form below and tell us about any concerns you have.

3. Dr. Mo will review your photos with you during your virtual appointment.

How to Photograph Your Smile

Photos should be taken in a seated position, in a room with good lighting. For best results, have someone else take the photos, as they can be difficult to take on your own.

Please contact our office if you have any questions about this form.

"*" indicates required fields

Step 1 - Show Us Your Smile

Accepted file types: jpg, jpeg, gif, png, pdf, heic, heif, Max. file size: 64 MB.

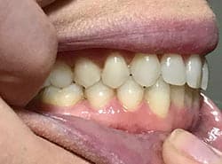
Bite down on your regular bite with back teeth touching. Pull back your right cheek as far as you can. Snap picture looking directly at the right side of your mouth.

Accepted file types: jpg, jpeg, gif, png, pdf, heic, heif, Max. file size: 64 MB.

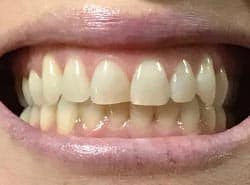
Bite down on your regular bite with back teeth touching and show us your biggest smile ever, showing as much of your teeth as possible. Snap picture looking straight at your smile.

Accepted file types: jpg, jpeg, gif, png, pdf, heic, heif, Max. file size: 64 MB.

Bite down on your regular bite with back teeth touching. Pull back your left cheek as far as you can. Snap picture looking directly at the left side of your mouth.

Accepted file types: jpg, jpeg, gif, png, pdf, heic, heif, Max. file size: 64 MB.

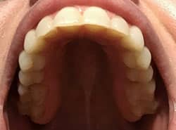
Tilt your head back and take a photo. Try to get your full arch. Face a window for the best lighting or use a flashlight to brighten the palate.

Accepted file types: jpg, jpeg, gif, png, pdf, heic, heif, Max. file size: 64 MB.

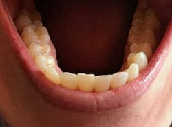
Tilt your chin down and take a photo. Try to get your full arch. Face a window for the best lighting or use a flashlight to brighten the tongue and back teeth.

Step 2 - Patient Information

Patient Name*
Preferred method of contact:*

Step 3 - Do you have any concerns about your treatment?

Please wait for a confirmation message to ensure your photos have been uploaded, it may take a minute depending on image size and internet connection.